lncRNA是近两年国自然申请的新宠,其中肿瘤研究占了一半的比例,如果你希望在2016年国自然IncRNA相关课题中获得一席之地,那么下面这些经典案例或许能够给你带来更具体的参考和借鉴。
案例一:lncRNA lnc-DC 控制人类树突状细胞分化
lncRNA作用类型:作为配体保护转录因子STAT3磷酸化位点
研究者利用外周血单核细胞诱导分化为树突状细胞这一模型,通过转录组芯片及RNA-Seq,首先鉴别出一个在人DC中特异表达的lncRNA,并将其命名为lnc-DC。后利用ChIP-Seq确认lnc-DC基因转录起始位点处H3K4me3组蛋白修饰水平上升,转录调控因子PU.1亲和力增加,确定DC分化过程中lnc-DC上调原因。
其后,研究者使用慢病毒载体沉默DC中的lnc-DC,使用转录组芯片及流式细胞术分析,发现DC功能基因下调,多种T细胞激活关键蛋白下调,单核细胞标记上调。说明lnc-DC的缺失会改变DC分化趋势,影响DC功能。
通过RNA FISH确认lnc-DC定位于核内,RIP-Seq发现lnc-DC不会与AGO2和ALU元件结合。研究者使用生物素化lnc-DC,通过RNA pull down及MS分析,确认lnc-DC与转录因子STAT3互作。使用lnc-DC突变体及携带不同标记的STAT3分别进行RIP实验,确认lnc-DC与STAT3结合模式。最后通过免疫印迹、核内外免疫荧光检测及磷酸化分析,发现lnc-DC会阻止磷酸酶SHP1与STAT3的结合,保护Y705磷酸化状态,增强DC中的STAT3信号通路,以此实现其维持与促进人DC发育成熟和激活T细胞免疫应答的能力,最终对DC分化发育、抗原递呈与免疫激活功能起到至关重要的作用。



相关文献:Wang P, Xue Y, Han Y, et al. The STAT3-binding long noncoding RNA lnc-DC controls human dendritic cell differentiation[J]. Science, 2014,344(6181): 310-313.
案例二:lncRNA- PACER激活致癌基因COX-2表达
作用类型:转录调控/表观遗传调控
研究者怀疑致癌基因COX-2的转录控制与ncRNA有关,使用人乳腺表皮细胞(HMEC)进行ChIP实验,在COX-2转录起始位点(TSS)上游-0.3kb处,发现一个额外启动子,且这个启动子和COX-2启动子内有两个CTCF/cohesin二聚体的结合位点。沉默CTCF/cohesin,ChIP分析COX-2启动子及上游区域内染色质修饰水平,发现这两个二聚体所隔离出的染色质区域转录产生了一段lncRNA,研究者将此lncRNA命名为p50-Associated COX-2 Extragenic RNA,PACER)。对沉默PACER后的HMEC进行ChIP-qPCR实验,证实PACER可富集组蛋白乙酰基转移酶p300,促进染色质乙酰基化,影响RNA pol II复合物形成(RNAP II)。不过,RIP-qPCR发现PACER并非直接与p300互作,RIP及RNA蛋白互作实验证明NF-κB家族蛋白p50会与PACER结合,PACER则会促进结合在基因启动子上的基因抑制复合物p50/p50二聚体转化成p50/p65二聚体,实现富集p300的作用。





![]()
相关文献:Krawczyk M, Emerson B M. p50-associated COX-2 extragenic RNA (PACER)activates COX-2 gene expression by occluding repressive NF-κB complexes[J].eLife, 2014, 3.
案例三:lncRNA通过超保守区域影响Drosha剪切产生成熟miR-195
作用类型:转录后调控/miRNA调控
miR-195已经证明与癌症细胞增殖与耐药性有关,在本项研究中,研究者希望进一步了解miR-195的调控机制,他们利用miRNA芯片检测HCT116细胞,通过分析差异miRNA种子序列,发现Uc.283+A这个lncRNA中的超保守区域(T-UCR)与pri-miR-195上Drosha剪切位点上游存在一段互补序列。EMSA实验证明pri-miR-195确实会同Uc.283+A互作。使用qPCR检测HCT116细胞和SK-N-BE(2)细胞中Uc.283+A与成熟miR-195表达状态,发现二者负相关;对其他数个类型癌细胞进行脱甲基化处理后发现,Uc.283+A、pri-miR-195和成熟miR-195中CpG岛被脱甲基化后,Uc.283+A、pri-miR-195会上调,但miR-195却会下调。使用野生型Uc.283+A与pri-miR-195进行体外孵育实验,Uc.283+A与成熟miRNA依然呈负相关,但如果使用pri-miR-195突变体或两个RNA互补区结合阻碍物进行孵育,成熟miR-195则不再受影响。
以上实验充分证明,Uc.283+A是利用T-UCR中与pri-miR-195的互补序列,下调成熟miR-195。因为两ncRNA互补区位于Drosha剪切位点上游,研究者假设这个过程是通过两RNA互补区结合影响Drosha对pri-miR-195的剪切。为此,研究者使用RNA antisense purification(RAP)法,发现两RNA之间的互补配对,会影响一个名为DGCR8的蛋白同pri-miR-195的结合,由于Drosha需要同DGCR8蛋白形成复合体才能对pri-miR-195进行剪切,Uc.283+A对DGCR8的影响会直接阻碍Drosha-DGCR8复合体形成,最终影响成熟miR-195的丰度。

相关文献:Liz J, Portela A, Soler M, et al. Regulation of pri-miRNA Processing by a Long Noncoding RNA Transcribed from an Ultra conserved Region[J]. Molecular Cell, 2014.
案例四:HOTAIR改变染色质状态促进癌症转移
作用类型:表观遗传调控
通过超高密度tiling array及qPCR分析不同乳腺癌细胞(原发性乳腺癌细胞和转移型乳腺癌细胞),发现HOTAIR显著上调。沉默HOTAIR,通过活体成像可以明显发现癌细胞转移减弱。HOTAIR通常会与组蛋白H3K27甲基化酶复合体PRC2结合,发挥调控作用,通过ChIP-on-chip,发现在HOTAIR上调时,有854个基因被PRC2所结合,出现H3K27me3组蛋白修饰,许多基因都是癌症转移的正向调节因子,也说明HOTAIR会通过与PRC2互作,改变染色质状态促进癌症转移。


相关文献:Gupta R A, Shah N, Wang K C, et al. Long non-coding RNA HOTAIRreprograms chromatin state to promote cancer metastasis[J]. Nature, 2010, 464(7291):1071-1076.
案例五:lncRNA拷贝数变异引发癌症
作用类型:转录调控/突变
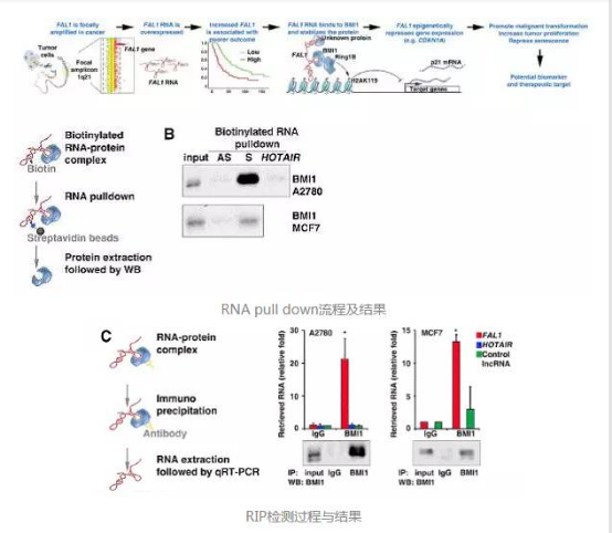
本项研究中,研究者将目光集中于lncRNA拷贝数变异同癌症发生的关系上,他们分析了不同数据库中癌症样本的SNP检测结果,,筛选出188个出现SCNA的lncRNA,使用shRNA在数个癌细胞系中沉默这些lncRNA,发现在沉默FAL1基因(focally amplified lncRNA onchromosome 1)时在体内和体外都会显著减少癌细胞数目,将此lncRNA的cDNA导入卵巢表皮细胞,也会诱导细胞增殖,且在对128个卵巢癌晚期病人癌细胞进行检测后,发现FAL1的获得性SCNA与病人存活率降低有关。
为了探明FAL1获得性SCNA的致癌机制,研究者首先检测了更多癌细胞中FAL1 RNA转录情况,结果发现,FAL1 RNA转录同获得性SCNA为正向相关。使用RNA pull down、Western Bloting及RIP qPCR确认FAL1 RNA的结合蛋白为BMI1。由于BMI1又是PRC1(polycombrepressive complex 1)复合体的一个亚基,FAL1对BMI1的稳定又会进一步提高PRC1的稳定性。PRC1是一个染色体修饰复合物,会抑制很多基因表达。在癌细胞中用shRNA沉默FAL1或BMI1,发现表达量上升最大的是CDKN1A基因,该基因与癌症发生有关,而FAL1可能是通过调控BMI1在CDKN1A启动子的结合效率来控制CDKN1A的转录,提高CDKN1A表达量。另外,沉默FAL1会明显诱导癌细胞进入G0/G1期,增加细胞衰老速度,也进一步显示了FAL1的致癌作用。

相关文献:Hu X, Feng Y, Zhang D, et al. A Functional Genomic Approach Identifies FAL1 as an Oncogenic Long Noncoding RNA that Associates with BMI1and Represses p21 Expression in Cancer[J]. Cancer cell, 2014, 26(3): 344-357.
(来源于网络,侵权请联系删除)
